San Dimas Dental Group, Glendora CA Dentist
 
Bridges

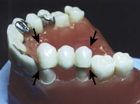
bridgePermanent Fixed Bridge

A Permanent Bridge replaces one or more missing teeth. A Bridge will:

  • Keep teeth from drifting into the space created from a missing tooth
  • Help preserve normal function and normal bite for the jaw joint

A Permanent Bridge is usually anchored to the teeth on both sides of the space from the missing tooth. This gives the bridge strong support. Brushing a bridge is no different than brushing natural teeth, but special flossing instructions are given to keep the bridge and surrounding tissue healthy.

 

Before
After
Before
After - Bridge and Crown
A Permanent Bridge is permanently bonded in place, unlike a Partial Denture (sometimes called a "Removable Bridge"), which is removable.